“در مرکز تداوی و کاشت دندان اعلمی ، ما متعهد به ارائه مراقبتهای دندانپزشکی با کیفیت بالا و شخصیسازی شده برای بیماران در تمام سنین هستیم. تیم ماهر ما از جدیدترین فناوریها برای اطمینان از درمانهای راحت و کارآمد و لبخندهایی زیبا و سالم برای تمام عمر استفاده میکند.”
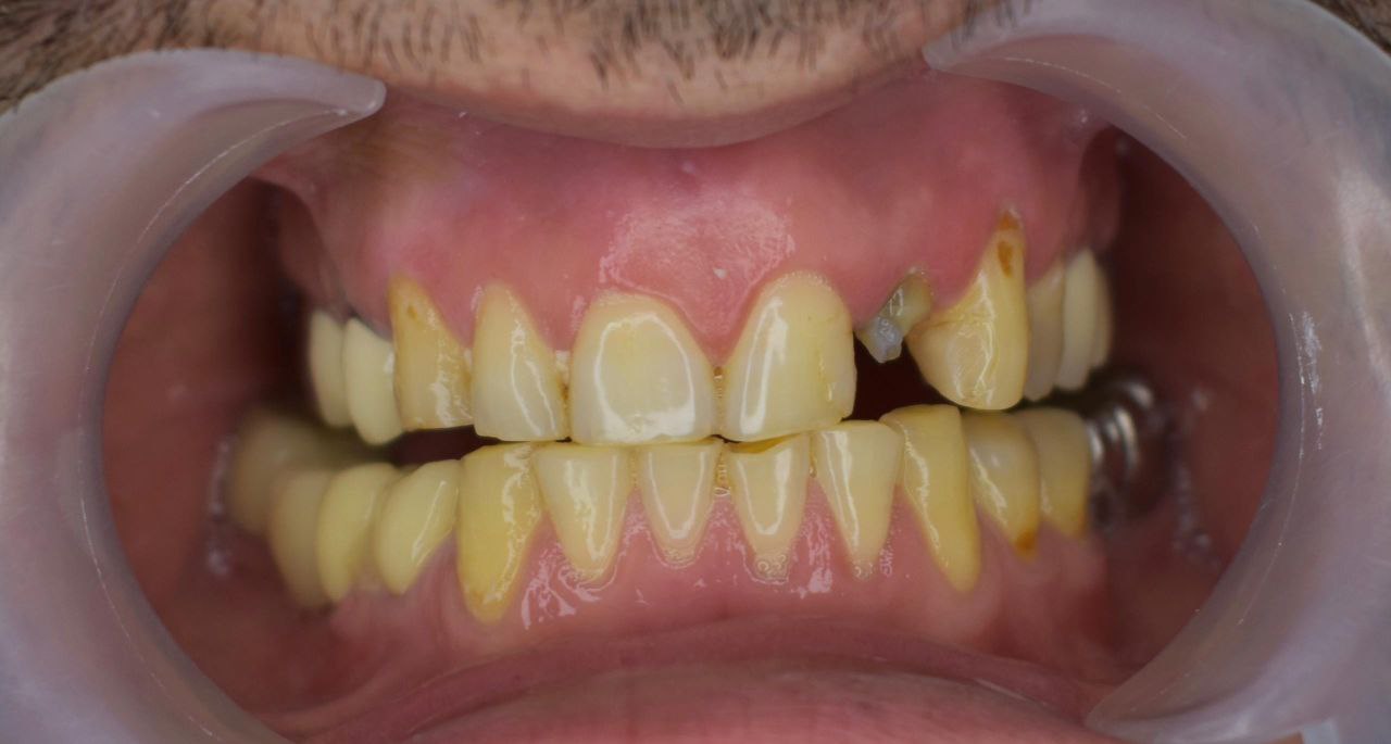
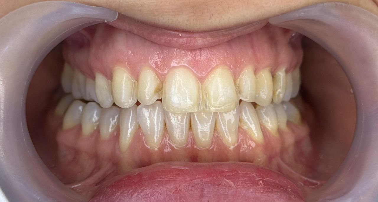
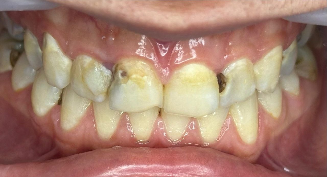
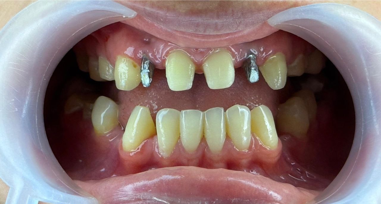
برخی از لبخند هایی که ساخته ایم













همین امروز با ما تماس بگیرید تا وقت خود را رزرو کنید و اولین قدم را برای داشتن لبخندی سالمتر بردارید