کلینیک دندان اعلمی

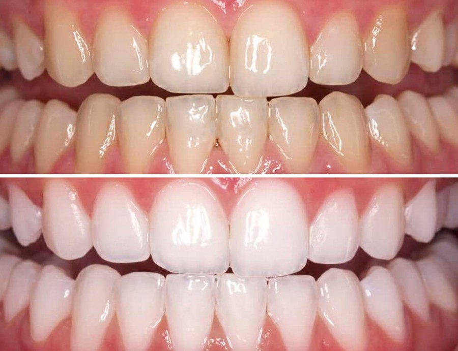
بلیچینگ (سفید نمودن دندان)

بیلیچینگ(سفید نمودن دندان)

بیلیچینگ(سفید نمودن دندان)

لبخندی درخشان و خیره‌کننده با بلیچینگ تخصصی

آیا دوست دارید لبخندی روشن‌تر و جذاب‌تر داشته باشید؟ بلیچینگ دندان سریع‌ترین و موثرترین راه برای از بین بردن لکه‌های ناشی از قهوه، چای و دخانیات است. در کلینیک اعلمی، ما با استفاده از بهترین مواد سفیدکننده جهانی و تکنولوژی اشعه آبی (LED)، دندان‌های شما را بدون کمترین آسیب به مینا، چندین درجه روشن‌تر می‌کنیم. درخشش لبخند شما، تخصص ماست.


چرا بلیچینگ در کلینیک ما؟

چرا خدمات سفید کردن دندان ما متمایز است؟

چرا خدمات سفید کردن دندان ما متمایز است؟

بلیچینگ در کلینیک(Office)

موثرترین روش که توسط پزشک انجام شده و در یک جلسه تغییرات شگفت‌انگیزی ایجاد می‌کند.

بلیچینگ در منزل (Home)

استفاده از قالب‌های اختصاصی و ژل‌های ملایم‌تر برای سفید کردن تدریجی دندان‌ها در خانه.

پاکسازی لکه‌های سطحی

از بین بردن زردی ناشی از مصرف مواد غذایی رنگی و دخانیات با دقت بالا

ماندگاری نتایج

با رعایت بهداشت و توصیه‌های ما، درخشش دندان‌های شما تا مدت‌ها باقی خواهد ماند

ایمنی و سلامت

تمام مواد مورد استفاده دارای تاییدیه سازمان‌های بهداشتی بین‌المللی هستند

ترکیب درمانی (Combo)

استفاده همزمان از روش کلینیک و منزل برای رسیدن به بالاترین سطح درخشش و ماندگاری.

آیا بلیچینگ باعث نازک شدن مینای دندان می‌شود؟

خیر، بلیچینگ یک فرآیند شیمیایی روی رنگدانه‌هاست و هیچ لایه‌ای از روی مینای دندان برداشته نمی‌شود.

بسته به رژیم غذایی و بهداشت شما، معمولاً بین ۶ ماه تا ۲ سال ماندگاری دارد که با تمدید دوره‌ای دائم می‌شود.

ممکن است تا ۲۴ ساعت حساسیت مختصری وجود داشته باشد که با استفاده از ژل‌های ضدحساسیت در کلینیک ما به حداقل می‌رسد.

خیر، مواد سفیدکننده فقط روی دندان طبیعی اثر می‌گذارند؛ بنابراین بهتر است بلیچینگ قبل از درمان‌های زیبایی انجام شود.


تمام اطلاعات مورد نیاز

پرسش‌های پرتکرار

آماده رزرو نوبت هستید؟

همین امروز با ما تماس بگیرید تا وقت خود را رزرو کنید و اولین قدم را برای داشتن لبخندی سالم‌تر بردارید

English
Scroll to Top